Diagram of a child's foot highlighting Sever’s Disease inflammation at the heel growth plate and Achilles tendon tension.

Understanding Sever’s Disease: A Parent’s Guide to Pediatric Heel Pain

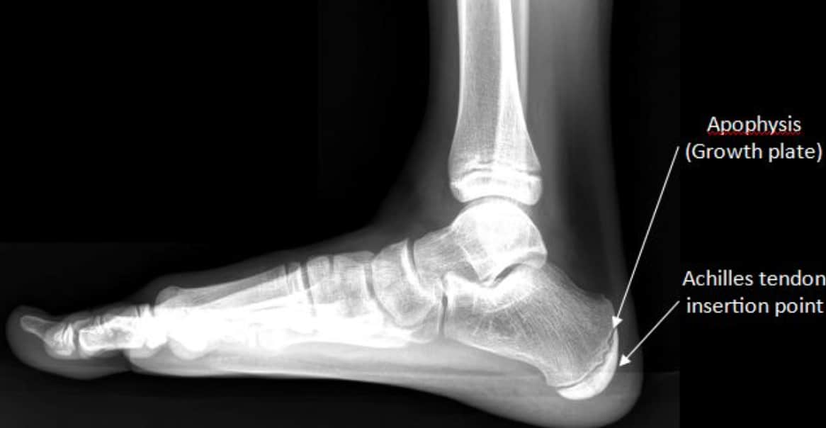
s heel pain sidelining your young athlete? Sever’s Disease is a common growth plate condition that causes sharp pain during sports and growth spurts. At Vertical Chiropractic of Sarasota, we provide specialized pediatric extremity care to address the root cause of heel inflammation, helping your child move comfortably and get back in the game without the “wait and see” approach.

Osgood-Schlatter’s Disease: Understanding Knee Pain in Active Kids and Teens in Sarasota

Osgood-Schlatter’s Disease: Understanding Knee Pain in Active Kids and Teens in Sarasota

If your child or teen is active in sports around Sarasota—from soccer and track to dance or baseball—and suddenly starts complaining of pain just below the kneecap, they may be experiencing a common growth-related condition known as Osgood-Schlatter’s disease. At Vertical Chiropractic® Sarasota, we see …

Read more

Can Chiropractic Care Help with Seasonal Allergies

Can Chiropractic Care Help with Seasonal Allergies?

For many people, allergy season means sneezing, congestion, itchy eyes, and even respiratory issues like asthma. These reactions occur when the immune system mistakenly views harmless substances—such as pollen or dust—as threats and releases histamines, leading to inflammation and discomfort. While medications like antihistamines may …

Read more

Is ADHD Limiting Your Child’s Potential? pediatric development and chiropractic care

Is ADHD limiting your child’s learning potential?

Attention-deficit/hyperactivity disorder (ADHD) is one of the most common mental disorders affecting children. Symptoms of ADHD include inattention (not being able to keep focus), hyperactivity (excess movement that is not fitting to the setting) and impulsivity (hasty acts that occur in the moment without thought). …

Read more